Etiqueta: vive
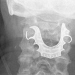
Hombre de 72 años vive con una dentadura postiza atorada en la garganta
La dentadura postiza de un británico de 72 años permaneció durante más de una semana atascada en su garganta luego de que el hombre...
Granadinos exaltan legado de Augusto C. Sandino
Centenares de granadinos participaron de un recorrido para conmemorar el 84 aniversario del paso a la inmortalidad del General de Hombres y Mujeres Libres, Augusto...
Ocotal: Ambiente de tranquilidad y paz se vive previo a elecciones municipales
Familias segovianas se desarrollan en un ambiente de normalidad y dinamismo económico en vísperas del sufragio electoral donde decidirán quienes serán sus futuras autoridades...
La Editorial Aguilar publicará «Vive», la biografía de Alejandro Sanz
La editorial Aguilar, perteneciente a Penguin Random House Grupo Editorial, publicará el próximo 23 de noviembre de 2017 la biografía autorizada de Alejandro Sanz,...
Sobreviviente de los 33 mineros chilenos brinda testimonio de fe
A 7 años del rescate más grande en una mina ubicada al norte de Chile, el 5 de agosto del 2010 33 mineros descendieron...
Juventud realiza Gala cultural «Sandino a través del arte»
Las afueras de la replica de la casa del General Augusto C. Sandino, ubicada en la remozada zona del centro histórico de Managua, fue...
Inicia ciclo de cine «Sandino Vive»
La Cinemateca Nacional de Nicaragua dio inicio al ciclo de cine "Sandino Vive" que arrancó con la película de Miguel Littin en la Sala...





















