Etiqueta: larvas
Varias ciudades de Corea del Sur denuncian larvas en el agua potable
Varias de las principales ciudades de Corea del Sur han reportado la presencia de larvas en el suministro de agua potable. En total, casi...
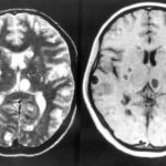
Médicos encuentran larvas en el cerebro de un joven de 18 años
Médicos indios descubrieron el cerebro de un joven de 18 años plagado de quistes causados por un parásito porcino. El muchacho, al que los...
No dejes que te muerda esta mosca, o lo lamentarás
Todos tenemos asumido que moscas y mosquitos son una presencias molestas con las que tenemos que convivir (forzosamente) cada verano. La mala noticia es...

















