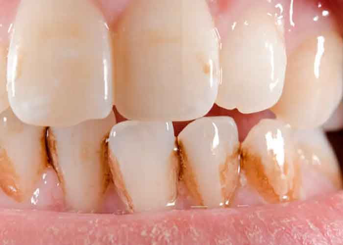
El sarro dental, también llamado cálculo dental se forma si no se elimina la placa con regularidad y completamente, los minerales de la saliva se unen a la placa y forman unos cristales que se endurecer y forman sarro.
Te puede interesar:Agua de canela: ¿Por qué es buena para la salud?
De acuerdo con Dental Care, el sarro dental, es un deposito incrustado que potencia las manchas de lo dientes y causa decoloración. Crea una placa endurecida que solo puede eliminar un profesional dental.
Sin embargo hay algunos remedios naturales para eliminar el sarro de los dientes. La formación de sarro puede dificultar la eliminación de las bacterias y la placa que sigue formándose.
Perejil
Esta hierba usada en la cocina también ayuda a eliminar la acumulación de sarro.

Ingredientes
1 cucharada de agua
2 puñado de hojas
Preparación
Primeramente lave bien las hojas de perejil.
Mézclese con el agua hasta formar una pasta.
Colócala sobre los dientes y deja actuar unos 5 minutos.
Semillas de ajonjolí
Estas pequeñas semillas son perfectas para la suciedad acumulada de los dientes, solo es necesario tomar una cucharada de ellas y masticarlas lentamente por 1 o 2 minutos, luego escupe y con da masajes con el cepillo humedecido en tus dientes, finalmente enjuaga con agua.

Agua oxigenada
Esta sustancia es multiusos y también aclara los dientes y elimina el sarro.

Ingredientes
un cuarto de taza de agua tibia
2 cucharadas de agua oxigenada
Preparación
Vas a colocar agua tibia en un vaso y añade agua oxigenada. Remueva para mezclar.
Beba un poco de agua y haz gárgaras durante 1 minuto, escupe la mezcla y repite durante otro minuto.
Enjuágate con agua fresca.


















